
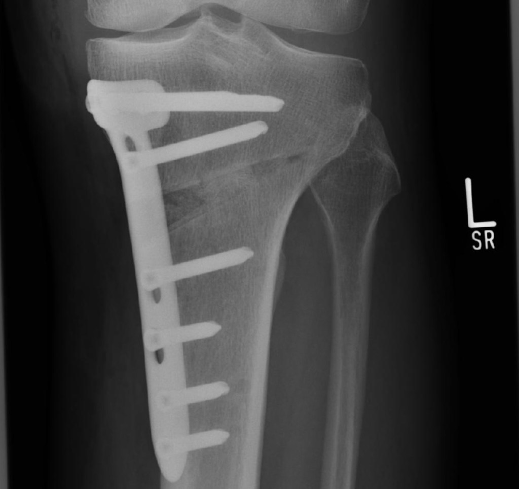
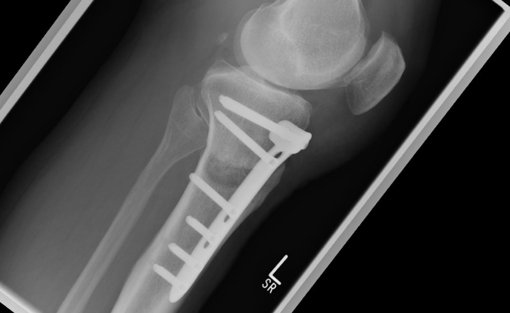
Die o. g. Frage haben sich bestimmt einige gestellt. Anhand der Zugriffszahlen in den letzten Wochen habe ich bemerkt, dass das Leben in meinem Blog scheinbar vermisst wird. Und es tut mir schon weh, dass ich momentan und auch in den nächsten Wochen nicht die Möglichkeit habe, sozusagen „fast live“ von den Barnimer Fußballplätzen zu berichten. Wer meinen Blog regelmäßig verfolgt, wird Anfang August diesen Eintrag (link) gelesen haben. Resultierend aus dieser Operation hat sich nun ein Folgeeingriff ergeben, der mich wiederholt in die Zwangspause gezwungen hat. Und diesmal noch deftiger als im August. Kurz erklärt, hat sich beim ersten Eingriff im Sommer ein Knorpelschaden vierten Grades im Innenbereich des Knies, gepaart mit einer Arthrose ergeben, welche eine Umstellungsosteotomie (HTO) des Knies durch eine Fehlstellung in der Beinachse erforderlich gemacht hat. Für Nichtmediziner einfach dargestellt: Ich hatte starke O-Beine und das Linke wurde nun begradigt. Hier sind drei Abbildungen, die einmal meine Beine im postoperativen Zustand zeigen und dazu zwei Fotos, auf denen zu sehen ist, was an meinem Unterschenkel gemacht wurde. Er ist „aufgekeilt“ worden und mit einer Metallplatte arretiert, so dass ich in Zukunft mehr mein Außenknie nutze, in dem noch einiges an Knorpelmaterial vorhanden ist. Klingt logisch, oder …?
Dies ist alles recht schmerzhaft, aber verkraftbar. Und wozu gibt es denn Schmerzmittel? Und schlussendlich zählt das Ergebnis und darauf liegt all meine Hoffnung.
Den Fußball im Barnim beobachte ich jetzt von der Couch aus und irgendwie werde ich das Gefühl nicht los, dass durch „Corona“ das baldige Ende naht. Ich drücke alle Daumen, dass es nicht so kommt.
Von den Vereinen, die ich bis zum Ende meiner Auszeit besucht habe, überzeugt momentan nur Rot-Weiß Schönow. Die thronen in der Kreisoberliga ohne Niederlage und Punktverlust an der Tabellenspitze und können sich definitiv nur selbst schlagen und damit die Liga nochmal spannend machen. In der Landesklasse Nord, in der sich vier Barnimer Truppen tummeln, bin ich als Erstes von dem favorisierten Team aus Zepernick schon etwas enttäuscht. Als Aufsteiger und großer Favorit für den Durchmarsch in die Landesliga angetreten, hat man sich nun schon zwei unerwartete Niederlagen eingefangen. Ich kenne viele, die sich hinter vorgehaltener Hand ins Fäustchen lachen, weil man der hochklassig besetzten Truppe den Erfolg (etwas Neid behaftet) nicht gönnt. Joachimsthal, der zweite Favorit, der in der letzten Saison mit seiner „Rasselbande“ schon für Furore sorgte und dem möglichen Aufstieg abschwor, mischt wieder oben mit. Aus guten Quellen habe ich erfahren, dass man in dieser Saison das Aufstiegsrecht wahrnehmen möchte. Ein Aspekt, der den Aufstiegskampf sehr spannend macht, zumal der derzeitige Tabellenführer aus Angermünde auch nicht ohne zu sein scheint. Vollkommen entfernt von allen eigenen Vorstellungen und Zielsetzungen hat sich die Eintracht aus Wandlitz. Null Punkte auf der Habenseite und wenig Aussicht in den kommenden Wochen, Zählbares in die Tabelle zu bekommen. Die ambitionierte Gegnerschaft wird dies wohl im eigenen Interesse verhindern wollen. Fortuna Britz, für mich persönlich, der Abstiegskandidat Nummer eins, scheint sich zu berappeln und dies wie immer in rustikaler Spielweise. Ein Blick in die Fairness-Abrechnung der Liga, wo Fortuna mit der rote Laterne leuchtet, scheint Beweis genug zu sein. Der momentane Erfolg scheint ihnen mit dieser Gradwanderung wohl Recht zu geben.
Nun noch ein Blick in die Landesliga Nord, wo sich Grün-Weiss Ahrensfelde um den Aufstieg „bemüht“. Ich habe die Truppe in zwei Pflichtspielen gesehen und dabei ist mir schon recht eindeutig aufgefallen, dass die Qualität der Mannschaft zwar überragend ist, dann aber leider erst einmal nicht mehr so viel kommt. Sicherlich sind verletzungsbedingte Ausfälle ein kleines Alibi für die nicht so überzeugenden Auftritte. Was mir in der Mannschaft aber fehlt, ist die Seele, Typen, die mitreißen können. Beispielhaft die Partie gegen den Aufsteiger aus Birkenwerder (1:1), wo man neunzig Minuten anrannte, teilweise schon planlos und es nicht schaffte in den qualitativen Kampfmodus umzuschalten und den tapferen, in der Güteklasse etwas begrenzten Gästen den Schneid abzukaufen. Die Landesliga Nord bleibt aber spannend, zumal sich in dieser Saison einige um den Aufstieg bewerben, was für Ahrensfelde ein Vorteil sein kann, wenn man seine Hausaufgaben ordentlich und vielleicht auch ein wenig überzeugend erledigt.
So, dies soll es nun erst einmal gewesen sein. Bleibt gesund und vor allem mir treu. Ich danke Euch dafür.
Bis denne, Euer Barnim Rasenballsport


